Breaking News
Blog
'Good' Bacteria in Probiotics Could Evolve in The Gut to Do Harm, Experiment Suggests
Probiotics are sold-out to us as 'good' bacterium that facilitate balance out 'bad' sorts of microbes inhabitancy come in our gut. however a replacement experiment on mice has shown however our microbic allies will evolve into
Read MoreBacteria Appear to Be Traveling Huge Distances Through an Unknown Airborne Mechanism
We know that bacteria are implausibly stubborn microorganisms, and new analysis suggests they are conjointly capable of travel thousands of miles through the air. As you'll be able to imagine, this finding has implications for the spread of
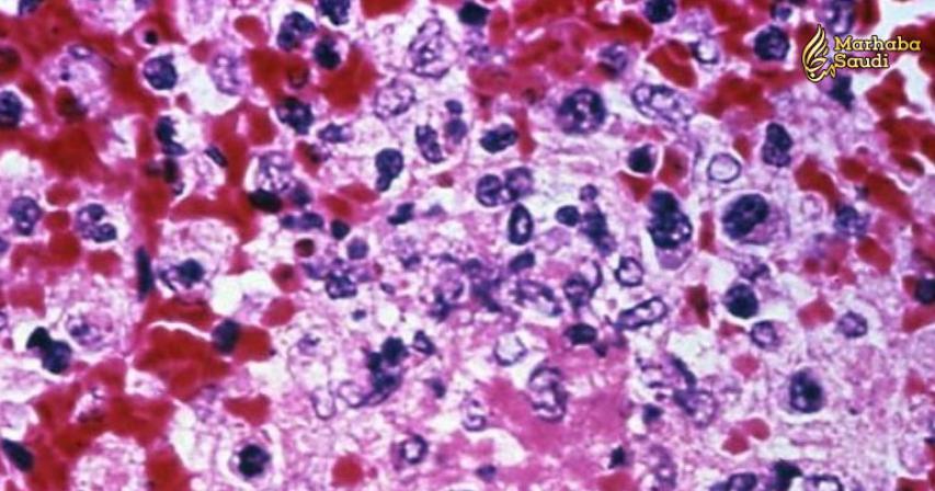
Read MoreDeadly Meningitis Appears to Be Cleared With Antipsychotics in Early Trials
Another examination on mice proposes that some antipsychotic medications could likewise enable us to handle the most widely recognized type of meningitis. Bacterial meningitis (Neisseria meningitidis) is a genuine contamination that causes
Read MoreAjman Media City Free Zone Launches Media Lab; A Unique Platform To Accelerate Youth Development And Boost Entrepreneurial Growth
H E Sheikh Abdul Aziz bin Humaid Al Nuaimi, Chairman of Ajman Media City Free Zone announced the launch of first of its kind Media Lab which will
Read MoreBuild Sand Sculptures This Spring Break at Kite Beach
School’s almost out. The kids’ excitement is reaching fever pitch. So, it’s time to grab those sunnies and head over to Kite Beach,
Read MoreSobha Realty Marks Debut in UK Market, to Launch New Global Studio
Sobha Realty, the leading premium real estate developer, has announced the launch of its new 4,800 sq. ft. Sobha Global Studio at 92 Park Lane,
Read MoreThe Royal Commission for AlUla hosts its first Mid-Year Summit for its scholarship programme in the United States, the United Kingdom and France.
The Royal Commission for AlUla is hosting a mid-year summit for its Scholarship Programme, which provides successful applicants from AlUla, KSA the opportunity to pursue degrees at prestigious universities and academic institutions in the United
Read MoreThis Spring Break Everything Is Awesome At the Lego Zone in Boxpark
Already thinking of how to keep the kids busy during the spring break? Boxpark, the hip urban destination by Meraas, has a boredom-crunching range of LEGO-themed activities which will keep the kids entertained. From 28 March to 13 April, kids can
Read MoreIGI reports solid full-year 2018 results and improved GWP growth
International General Insurance Holdings Limited today reported earnings for the 2018 financial year. The year 2018 saw a strong recovery for IGI following the most expensive year for catastrophe losses on record in 2017. The Group has a clear
Read MoreTop 4 Cities with Highest Salaries in Saudi Arabia
Cities of a rustic square measure completely different|completely different} in several respects: they'll be a part of a similar country all the same they're different. Cities vary in line with their landscape, weather, living designs and
Read MoreHealth
AstraZeneca, Oxford aim to produce Omicron-targeted vaccine
4 years agoCities of a rustic square measure completely different|completely different} in several respects: they'll be a part of a similar country all the
French company Carmat announces first implant of its
5 years agoCities of a rustic square measure completely different|completely different} in several respects: they'll be a part of a similar country all the
5 reasons to add eggs to your diet
6 years agoCities of a rustic square measure completely different|completely different} in several respects: they'll be a part of a similar country all the
6 Things That Will Happen If You’ll Eat A Lot Of Nut
6 years agoCities of a rustic square measure completely different|completely different} in several respects: they'll be a part of a similar country all the
Coronavirus (COVID-19): Home Care & Precautions
6 years agoCities of a rustic square measure completely different|completely different} in several respects: they'll be a part of a similar country all the
Sports
Qatar Handball Team Arrives in Saudi Arabia to Participate
4 years agoCities of a rustic square measure completely different|completely different} in several respects: they'll be a part of a similar country all the
Fati delights, Jovic disappoints, optimism for Atletico
6 years agoCities of a rustic square measure completely different|completely different} in several respects: they'll be a part of a similar country all the
Saudi Arabia celebrates 20th year of first Olympic medal
6 years agoCities of a rustic square measure completely different|completely different} in several respects: they'll be a part of a similar country all the
