Breaking News
Health
3 Benefits Of Apple Cider Vinegar For Digestion
As ACV defers the entry of sustenance from the stomach to the small digestive system, the nourishment is separated better. This additionally keeps the blood glucose levels from rising unexpectedly in diabetic patients. Being antibacterial, ACV can
Read More13 Powerful Home Remedies For Pancreatitis
There are various useful home solutions for treat pancreatitis, including the utilization of needle therapy, tofu, red grapes, reishi mushrooms, yogurt, spinach, ginseng, and blueberries, alongside certain way of life changes. Pancreatitis
Read More11 Effective Home Remedies For Ringworm
Ringworm is a typical parasitic disease of the skin, however there are various straightforward home cures that can clear up this contamination, including the utilization of garlic remove, tea tree oil, turmeric, aloe vera, coconut oil, salt, papaya
Read More10 Best Home Remedies For Type 1 Diabetes
Type 1 Diabetes influences a large number of individuals around the globe, so having a reasonable image of the indications and potential treatment
Read MorePapaya Seeds For Liver, Gut, And Kidney Detox
More often than not when we eat papaya natural product, we waste the papaya seeds. Be that as it may, much to our dismay how useful they are and how
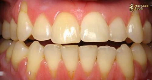
Read More6 Effective Home Remedies For Receding Gums
Retreating gums, or gingival subsidence as it is restoratively known, is a condition in which the gums pull over from the tooth surface and uncover
Read MoreWhy You Should Use Apple Cider Vinegar To Lower High Blood Pressure
In the event that you are a firm adherent to the decency of apple juice vinegar, here's increasingly uplifting news. Research says apple juice vinegar has supplements that can cut down circulatory strain levels and improve heart health.1 About 1
Read More15 Thyroid Cancer Facts Everyone Should Know
In case you're similar to a great many people, you don't consider your thyroid organ. It's a little organ that resembles a butterfly in your throat. In case you're a person, it's simply beneath your Adam's apple. It may be
Read MoreAnemia: Types, Symptoms and Treatment
Doctors state that pallor is a standout amongst the most well-known types of blood condition on the planet. Likewise, there are more than 400 unique sorts of it in spite of the fact that they can be classified into three principle ones. A few types
Read MoreThe Best Foods to Eat with High Vitamin E Content
Nutrient E is a critical cancer prevention agent exacerbate that is fat-solvent, which means it stays in the tissues once it is put away in the body. Among the primary jobs of this nutrient is to kill the awful impacts of fat oxidation. There is as
Read MoreEntertainment
Virat Kohli to debut in a movie? Twitter post leaves fans
8 years agoNutrient E is a critical cancer prevention agent exacerbate that is fat-solvent, which means it stays in the tissues once it is put away in the body.
Box Office: 'The Predator' Bites Off $24 Million Bow
8 years agoNutrient E is a critical cancer prevention agent exacerbate that is fat-solvent, which means it stays in the tissues once it is put away in the body.
2.0 Teaser: Rajinikanth And Akshay Kumar's Ganesh Chaturthi
8 years agoNutrient E is a critical cancer prevention agent exacerbate that is fat-solvent, which means it stays in the tissues once it is put away in the body.
Salman Khan's Race 3 on list of world's lowest rated movies
8 years agoNutrient E is a critical cancer prevention agent exacerbate that is fat-solvent, which means it stays in the tissues once it is put away in the body.
Bollywood star Sridevi wins posthumous prize at India film
8 years agoNutrient E is a critical cancer prevention agent exacerbate that is fat-solvent, which means it stays in the tissues once it is put away in the body.
Sports
Qatar Handball Team Arrives in Saudi Arabia to Participate
4 years agoNutrient E is a critical cancer prevention agent exacerbate that is fat-solvent, which means it stays in the tissues once it is put away in the body.
Fati delights, Jovic disappoints, optimism for Atletico
6 years agoNutrient E is a critical cancer prevention agent exacerbate that is fat-solvent, which means it stays in the tissues once it is put away in the body.
Saudi Arabia celebrates 20th year of first Olympic medal
6 years agoNutrient E is a critical cancer prevention agent exacerbate that is fat-solvent, which means it stays in the tissues once it is put away in the body.
